48歳の女性。両下肢筋力低下を主訴に来院した。1年前に右眼視力低下があり、眼科で加療されて症状は改善した。3日前から両下肢の脱力感としびれ感を自覚していた。これらの症状が徐々に悪化し、本日起床時に起き上がるのが困難となったため、夫が救急車を要請し入院した。
意識は清明。血圧112/64mmHg。脈拍80/分、整。胸腹部に異常を認めない。神経診察では脳神経領域に異常を認めない。上肢には麻痺はなく、腱反射は正常である。下肢筋力は両側の近位筋、遠位筋ともに徒手筋力テストで2程度に低下している。下肢腱反射は亢進し、Babinski徴候は両側陽性である。胸骨下縁から下で温痛覚の低下がみられる。
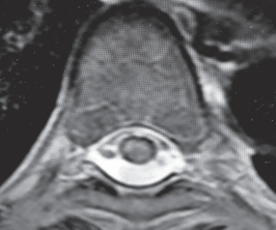
血液所見、血液生化学所見に異常を認めない。脳脊髄液所見は細胞数 69(多核球 60、単核球 9)/mm3(基準 0~2)、蛋白 62 mg/dL(基準 15~45)、糖62mg/dL。胸椎MRIのT2強調矢状断像と病変部の水平断像を別に示す。
診断に有用なのはどれか。
a. MPO-ANCA
b. 抗アクアポリン4抗体
c. 抗ガングリオシド抗体
d. 抗筋特異的チロシンキナーゼ抗体〈抗MuSK抗体〉
e. 抗アミノアシルt-RNA合成酵素抗体〈抗ARS抗体〉
