48歳の女性(1妊1産)。腹部膨満感を主訴に来院した。3か月前に腹囲増大を自覚し、1週間前から腹部膨満感が強くなってきたため受診した。家族歴に特記すべきことはない。29歳時に帝王切開している。
身長 162 cm、体重 54 kg。体温 36.8 ℃。脈拍84/分、整。血圧 106/66 mmHg。呼吸数 18/分。下腹部に弾性軟で可動性のない腫瘤を触知する。内診で子宮は後屈・正常大で圧痛はない。
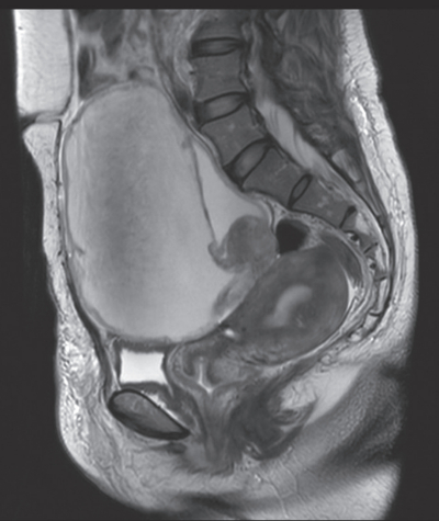
腫瘍マーカーは、CA19-9 87 U/mL(基準 37以下)、CA125 235 U/mL(基準 35以下)。骨盤部単純MRIのT2強調矢状断像を別に示す。胸腹部CTで転移や播種を認めない。
この患者でまず行うのはどれか。
a. 開腹手術
b. 放射線照射
c. 嚢胞穿刺吸引
d. 薬物による抗癌治療
e. GnRHアゴニスト投与
