51歳の男性。右膝前十字靱帯損傷の再建術を施行された。術後出血を認めず、創部の異常も認めない。手術翌日から食事を摂取していた。術後3日目の午前中に膝関節固定具を外してトイレに立った時、心窩部の違和感と発汗を認めた。しばらく安静にして症状は改善した。その後、悪心、食欲不振が出現したため昼食は摂取できなかった。術前の既往歴、家族歴に特記すべきことはない。
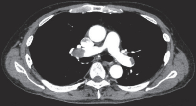
体温36.4℃。脈拍84/分、整。血圧114/70mmHg。呼吸数18/分。SpO2 92%(room air)。鼻カニューラ2L/分で酸素投与したところ、SpO2は99%となった。心音と呼吸音に異常を認めない。腹部は平坦で、肝・脾を触知しない。術創部からの出血は認めない。胸部造影CTを別に示す。
ただちに行うべきなのはどれか。
a. ECMO〈Extracorporeal membrane oxygenation〉
b. 緊急手術
c. 冠動脈造影
d. ヘパリン投与
e. 下大静脈フィルター挿入
