医師免許申請用診断書

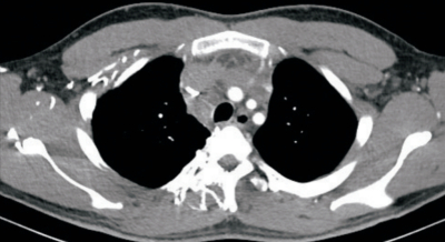
21歳の男性。1か月前からの顔面浮腫、労作時の呼吸困難を主訴に来院した。既往歴に特記すべきことはない。顔面と頸部および上肢の浮腫を認め、胸壁静脈の怒張を認めた。経皮的針生検により縦隔原発精上皮腫と診断された。胸部造影CTを別に示す。

この患者の症状はどの部位の狭窄によるものか。

a. 上大静脈

b. 腕頭動脈

c. 肺動脈

d. 気管

e. 食道

解答を見る

過去問チャートは、医療系国家試験の過去問をテーマ別に整理・解説した無料の学習サービスです。
※公式問題・正答は厚生労働省公開資料をもとに整理しています。


システム設計・解説記入:米澤 昌紘(X : @leknyan
(医師/日本橋内科クリニック院長)