40 歳の男性。胸やけを主訴に来院した。 2 か月前から食事中のつかえ感を自覚し、 2 週間前から胸やけを伴うようになり受診した。16 歳からアトピー性皮膚炎で加療中である。喫煙歴はない。飲酒はビール 350 mL/日を 20 年間。家族歴に特記すべきことはない。
意識は清明。身長 172 cm、体重 60 kg。体温 36.2 ℃。脈拍76/分、整。血圧 126/78 mmHg。呼吸数 14/分。SpO₂ 99 %(room air)。顔面、頸部、体幹および四肢に対称的に紅斑、丘疹および痂皮を認める。眼瞼結膜と眼球結膜とに異常を認めない。甲状腺腫と頸部リンパ節とを触知しない。腹部は平坦、軟で、圧痛を認めない。
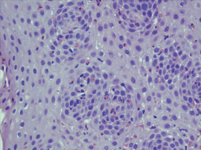
血液所見:赤血球 458 万、Hb 13.7 g/dL、Ht 41 %、白血球7,300(桿状核好中球 20 %、分葉核好中球 30 %、好酸球 8 %、好塩基球 1 %、単球6 %、リンパ球 35 %)、血小板 24 万。血液生化学所見:総蛋白 7.9 g/dL、アルブミン 4.2 g/dL、 総ビリルビン 0.9 mg/dL、AST 24 U/L、ALT 18 U/L、LD 178 U/L(基準 120~245)、ALP 86 U/L(基準 38~113)、γ-GT 38 U/L(基準 8~50)、アミラーゼ 85 U/L(基準 37~160)、尿素窒素 20 mg/dL、クレアチニン0.8 mg/dL、血糖 92 mg/dL。CRP 0.1 mg/dL。プロトンポンプ阻害薬を処方されたが、症状は改善しなかった。上部消化管内視鏡検査の食道像と生検組織の H-E 染色標本を別に示す。
この患者で考えられる疾患はどれか。
a. 食道癌
b. 逆流性食道炎
c. 好酸球性食道炎
d. 食道アカラシア
e. 食道カンジダ症
 
    