85 歳の男性。尿量の低下を主訴に来院した。 1 年前から断続的に無症候性肉眼的血尿がみられたが、数日程度で消退していたため放置していた。 1 週間前から倦怠感が強くなり、尿量が低下したため受診した。喫煙は 20 歳から 30 本/日を 60 年間。 5 年前から禁煙している。飲酒は機会飲酒。家族歴に特記すべきことはない。
意識は清明。 身長 162 cm、 体重 52 kg。 体温 36.4 ℃。 脈拍 80/分、 整。 血圧120/76 mmHg。呼吸数 16/分。腹部は平坦で、圧痛を認めない。下肢に浮腫を認める。
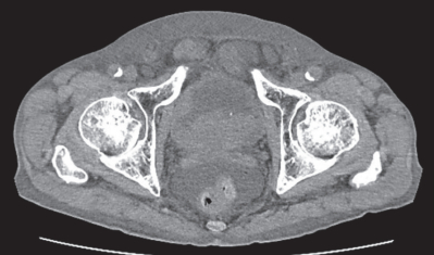
尿所見:蛋白(-)、糖(-)、ケトン体(-)、潜血 3 +、沈渣に赤血球 100 以上/HPF、白血球 1 ~ 4 /HPF を認める。血液所見:赤血球 285 万、Hb 8.5 g/dL、Ht 29 %、白血球 5,500、血小板 20 万。血液生化学所見:総蛋白 6.5 g/dL、アルブミン 2.8 g/dL、総ビリルビン 1.0 mg/dL、AST 26 U/L、ALT 15 U/L、LD 136 U/L(基準 120~245)、尿素窒素 66 mg/dL、クレアチニン 5.1 mg/dL、尿酸 5.8 mg/dL、 血糖 93 mg/dL、Na 134 mEq/L、K 5.8 mEq/L、Cl 98 mEq/L。腹部超音波検査で両側の水腎症と尿管拡張、膀胱内に腫瘤を認めた。腹部単純 CTを別に示す。
直ちに行うべき治療はどれか。
a. 血液透析
b. 腎瘻造設術
c. 尿道カテーテル留置
d. 膀胱瘻造設術
e. 利尿薬投与
