71 歳の女性。発熱を主訴に来院した。2 週間前から 38 ℃の発熱が出現し持続するため自宅近くの診療所を受診し、腎機能障害を指摘されたため紹介受診した。
体温 37.8 ℃。脈拍 92/分、整。血圧 148/78 mmHg。頭頸部に異常を認めない。心音に異常を認めない。呼吸音は両側背部で fine crackles を聴取する。関節の腫脹や圧痛を認めない。難聴を認めない。
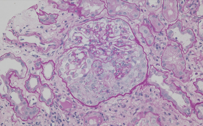
尿所見:蛋白 2 +、糖(-)、潜血 2 +、沈渣に赤血球 10~20/HPF、白血球 1 ~5/HPF、顆粒円柱、赤血球円柱を認める。血液所見:赤血球 390 万、Hb 11.6 g/dL、Ht 36 %、白血球 8,500、血小板 18 万。血液生化学所見:総蛋白 7.5 g/dL、アルブミン 2.8 g/dL、IgG 1,260 mg/dL(基準 960~1,960)、IgA 240 mg/dL(基準 110~410)、IgM 105 mg/dL(基準 65~350)、AST 30 U/L、ALT 21 U/L、LD 205 U/L(基準 120~245)、ALP 75 U/L(基準 38~113)、γ-GT 34 U/L(基準 8 ~50)、 尿素窒素 48 mg/dL、 クレアチニン 2.2 mg/dL、尿酸 8.1 mg/dL、血糖 88 mg/dL、HbA1c 5.5 %(基準 4.6~6.2)、LDL コレステロール 88 mg/dL。 免疫血清学所見:CRP 2.2 mg/dL、 リウマトイド因子40 IU/mL(基 準 15 以 下)、MPO-ANCA 350 U/mL(基準 3.5 未 満)、PR3-ANCA 0.1 U/mL(基準 3.5 未満)、抗核抗体陰性、血清補体価(CH50)62 U/mL(基準 30~40)。頭頸部 CT に異常を認めないが、胸部 CT で両側下葉を主体に間質性陰影を認める。腎生検の PAS 染色標本を別に示す。
最も考えられる疾患はどれか。
a. IgA 血管炎
b. 結節性多発動脈炎
c. 顕微鏡的多発血管炎
d. 多発血管炎性肉芽腫症
e. クリオグロブリン血症性血管炎
