52 歳の男性。右片麻痺を主訴に来院した。1 か月前から早朝に激しい頭痛を自覚していたが、市販の鎮痛薬を内服して様子をみていた。10 日前から右上下肢の脱力が出現し、次第に増悪したため受診した。既往歴に特記すべきことはない。
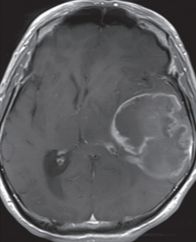
身長 172 cm、体重 68 kg。体温 36.2 ℃。脈拍 72/分、整。血圧 134/82 mmHg。呼吸数 16/分。右利き。徒手筋力テストで右上下肢共に 3 の片麻痺を認める。頭部造影MRI の T1 強調水平断像と冠状断像を別に示す。翌日、開頭腫瘍摘出術を行うこととなった。
術後新たに起こる可能性がある神経症状はどれか。 2 つ選べ。
a. 着衣失行
b. 感覚性失語
c. 右同名半盲
d. 眼球運動障害
e. 左半身の感覚障害
