58 歳の男性。貧血の精査のため来院した。 3 か月前から続く体重減少と腹部膨満感のため自宅近くの診療所を受診したところ、貧血を指摘され紹介受診した。
胸骨右縁第 2 肋間を最強点とする収縮期雑音を聴取する。呼吸音に異常を認めない。左肋骨弓下に脾を 5 cm 触知する。表在リンパ節を触知しない。
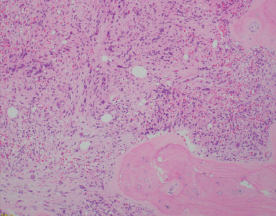
血液所見:赤血球243 万、Hb 7.8 g/dL、Ht 25 %、白血球 13,900(骨髄芽球 3 %、前骨髄球 3 %、骨髄球 6 %、後骨髄球 1 %、桿状好中球 3 %、分葉好中球 37 %、好酸球 14 %、好塩基球 13 %、単球 2 %、リンパ球 18 %)、血小板 8.0 万。末梢血好中球 BCR-ABL(FISH 法)陰性、骨髄穿刺は dry tap であった。骨髄の生検組織の H-E 染色標本と鍍銀染色標本を別に示す。
この患者の末梢血でみられるのはどれか。
a. 球状赤血球
b. 破砕赤血球
c. 標的赤血球
d. 有棘赤血球
e. 涙滴赤血球
