65 歳の男性。胸部痛を主訴に来院した。4 か月前から持続性の右胸部痛が出現し、徐々に増強したため受診した。40 年前から建設業に従事していた。
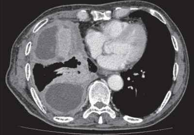
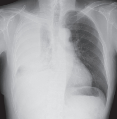
体温36.3 ℃。脈拍 72/分、整。血圧 128/72 mmHg。呼吸数 18/分。SpO₂ 98 %(room air)。右胸部の呼吸音は減弱し、打診で濁音を認める。血液検査所見で炎症所見は認めないが、胸水中のヒアルロン酸は 125,000 ng/mL と著明な増加を認めた。胸部エックス線写真と胸部造影 CTを別に示す。
確定診断のために必要な検査はどれか。
a. 胸膜生検
b. 胸部 MRI
c. FDG-PET
d. 気管支鏡下肺生検
e. 腫瘍マーカー測定
