66歳の女性。上腹部痛を主訴に来院した。昨日の夕食後から上腹部痛が出現し、本日の昼から増悪してきたため夕方に受診した。高血圧症と脂質異常症とで内服治療中である。
身長155cm、体重58kg。体温38.2℃。右季肋部に強い圧痛を認めるが、反跳痛はない。
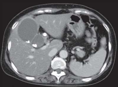
血液所見:赤血球448万、Hb 13.8g/dL、Ht 37%、白血球15,800、血小板28万。血液生化学所見:総ビリルビン0.9mg/dL、AST 28U/L、ALT 18U/L。CRP 9.8mg/dL。腹部造影CTを別に示す。
治療として適切なのはどれか。3つ選べ。
a. 抗菌薬投与
b. 経動脈的塞栓術
c. 腹腔鏡下胆嚢摘出術
d. 経皮経肝胆嚢ドレナージ
e. 体外衝撃波結石破砕術〈ESWL〉
