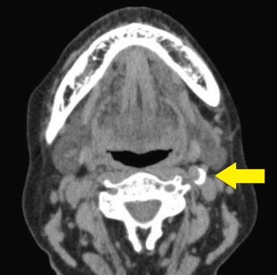
高齢者のCTを別に示す。矢印で示す石灰化が認められるのはどれか。1つ選べ。
a. 舌下腺
b. 顎下腺
c. 内頸動脈
d. 口蓋扁桃
e. 胸鎖乳突筋
高齢者の動脈硬化→石灰化。
ジョジョの奇妙な冒険 第五巻より引用。
ディオがコリコリしているのは総頚動脈と思われます。この付近をコリコリされると頸動脈洞(圧受容体)が刺激され、迷走神経反射となり失神状態になることがあります。
前のページへ
次のページへ