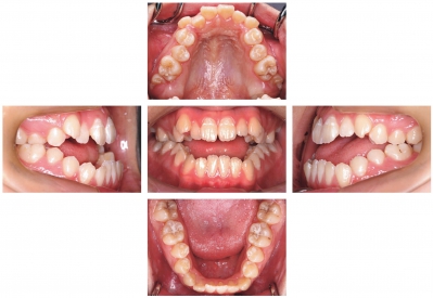
20歳の女性。咀嚼障害を主訴として来院した。外科的矯正治療を行うこととし た。初診時の口腔内写真とエックス線写真を別に示す。セファロ分析の結果を図に示す。

術前矯正治療の目標として適切なのはどれか。1つ選べ。

a. 下顎前歯の唇側傾斜

b. 下顎大臼歯の遠心移動

c. 上顎歯列弓の側方拡大

d. オーバージェットの改善

e. AngleⅠ級の咬合関係の獲得
解答を見る