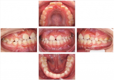
8歳の男児。前歯部の咬み合わせの異常を主訴として来院した。家族に同様の咬み合わせはいないという。他に特記すべき病歴はない。初診時の顔面写真と口腔内写真を別に示す。セファロ分析の結果を図に示す。
矯正治療に用いるのはどれか。2つ選べ。
a. チンキャップ
b. バイオネーター
c. リップバンパー
d. クワドヘリックス
e. 上顎前方牽引装置
前のページへ
次のページへ