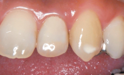
40歳の女性。上顎左側犬歯の審美不良を主訴として来院した。白濁部は萌出時から認められたが、歯冠全体の色調が5年前から変化してきたという。症状はなく歯髄電気診に生活反応を認める。初診時の口腔内写真を別に示す。
まず行うのはどれか。1つ選べ。
a. 漂白処置
b. フッ化物歯面塗布
c. コンポジットレジン修復
d. レジンインプレグネーション
e. オールセラミッククラウン装着
前のページへ
次のページへ