40 歳の女性。下肢の浮腫を主訴に来院した。半年前に職場の健康診断で蛋白尿を指摘されたが、そのままにしていた。1か月前から両側下腿の浮腫が出現し、次第に増悪するため受診した。
身長160 cm、体重58 kg。脈拍 64/分、整。血圧132/90 mmHg。
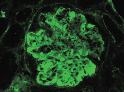
尿所見:蛋白3+、糖(-)、潜血3+、沈渣に赤血球 10〜20/1視野、白血球0〜2/1視野、赤血球円柱と顆粒円柱とを認める。尿蛋白 4.0g/日。血液所見:赤血球 460 万、Hb 13.1 g/dL、Ht 42 %、白血球 3,800(桿状核好中球 40 %、分葉核好中球 26 %、好酸球 2%、好塩基球 0%、単球 7%、リンパ球 25%)、血小板 19 万。血液生化学所見:総蛋白 4.3 g/dL、アルブミン 1.9 g/dL、IgG 2,400 mg/dL (基準 960〜1,960)、IgA 486 mg/dL (基準 110〜410)、IgM 188mg/dL(基準 65〜350)、尿素窒素 31 mg/dL、クレアチニン 0.9 mg/dL、尿酸 7.0mg/dL、血糖 116 mg/dL、HbA1c 6.3 %(基準 4.6〜6.2)、トリグリセリド 143mg/dL、LDLコレステロール 213 mg/dL。免疫血清学所見:CRP 0.1 mg/dL、抗核抗体 640倍(基準 20 以下)。腎生検の PAS 染色標本と蛍光抗体C1q染色標本とを別に示す。Congo-Red 染色は陰性である。
考えられるのはどれか。
a. アミロイド腎症
b. Alport 症候群
c. 糖尿病腎症
d. 微小変化群
e. ループス腎炎
