41 歳の初産婦。妊娠 39 週日に全身けいれんのため救急車で搬入された。来院時にはけいれんは消失していた。
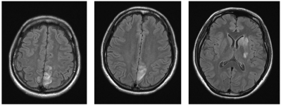
意識レベルは JCSⅠ-1。心拍数 90/分、整。血圧 190/120 mmHg。呼吸数 16/分。SpO2 97 %(room air)。全身に浮腫を認める。尿所見:蛋白3+。硫酸マグネシウムの持続静注を開始した後に撮影された頭部MRI の FLAIR 像を別に示す。
適切な治療はどれか。
a. ヘパリン静注
b. フロセミド静注
c. マニトール点滴静注
d. 塩酸リトドリン点滴静注
e. ニカルジピン<カルシウム拮抗薬>静注
