34 歳の女性。前胸部不快感、呼吸困難および悪心のため救急車で搬入された。10 日前から感冒様症状に続き、37 ℃台の発熱、悪心およびふらつきが出現していた。3日前から前胸部の不快感と呼吸困難とが出現し、増悪してきたため救急車を要請した。
体温 36.9 ℃。心拍数 112/分、整。血圧 74/40 mmHg。呼吸数 24/分。SpO2 98 %(鼻カニューラ1L/分 酸素投与下)。Ⅲ音とⅣ音とを聴取する。両下胸部に coarse crackles を聴取する。四肢末梢の冷感を認める。
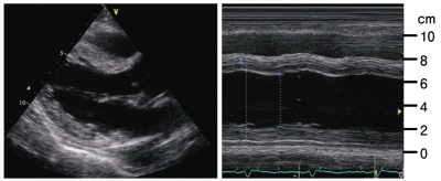
血液所見:赤血球 418 万、Hb 12.7 g/dL、白血球 11,300、血小板 20 万。血液生化学所見:AST 186 U/L、ALT 64 U/L、LD 995 U/L (基準 176〜353)、CK 352 U/L (基準 30〜140)、CK-MB 42 U/L(基準 20 以下)。CRP 11 mg/dL。心筋トロポニン T 迅速検査は陽性。胸部エックス線写真で心拡大と肺うっ血とを認める。来院時の心電図と心エコー図及び入院 14 日目の心エコー図を別に示す。
最も可能性の高い疾患はどれか。
a. 急性心筋炎
b. 急性右室梗塞
c. 僧帽弁狭窄症
d. 急性肺血栓塞栓症
e. 特発性拡張型心筋症
