医師免許申請用診断書

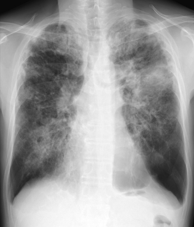
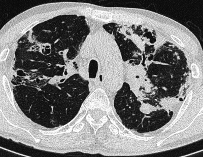
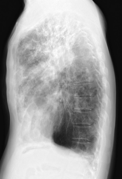
45 歳の男性。喀痰を主訴に来院した。1年前から茶褐色の細長い粘稠な痰をしばしば喀出するようになった。小児期から喘息で治療中である。胸部エックス線写真の正面像と側面像及び肺野条件の胸部 CTを別に示す。

この疾患について誤っているのはどれか。

a. 血清 IgE 値は高値を示す。

b. 末梢血で好酸球増多を示す。

c. 移動性の肺浸潤影を呈する。

d. 喀痰培養で抗酸菌が検出される。

e. 第一選択の治療薬は経口副腎皮質ステロイドである。

解答を見る

過去問チャートは、医療系国家試験の過去問をテーマ別に整理・解説した無料の学習サービスです。
※公式問題・正答は厚生労働省公開資料をもとに整理しています。


システム設計・解説記入:米澤 昌紘(X : @leknyan
(医師/日本橋内科クリニック院長)