78歳の男性。腹痛のため救急車で搬入された。1年前から便秘傾向であったが特に医療機関を受診していなかった。最近になって便秘がひどくなり、昨晩、就寝前に下剤を服用した。今朝、排便時に突然、強い腹痛が生じたため救急車を要請した。
意識は清明。身長 172 cm、体重 64 kg。体温 38.4 ℃。心拍数 120/分、整。血圧 160/92 mmHg。呼吸数 28/分。表情は苦悶様で屈曲側臥位である。眼瞼結膜は貧血様である。眼球結膜に黄染を認めない。心音と呼吸音とに異常を認めない。腹部は板状硬で強い圧痛を認める。表在リンパ節を触知しない。
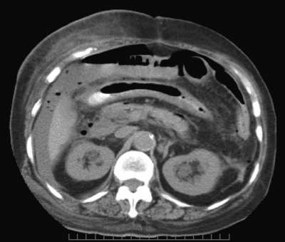
血液所見:赤血球 320 万、Hb 10.7 g/dL、Ht 30 %、白血球 15,300、血小板 18 万。血液生化学所見:総蛋白 6.6 g/dL、アルブミン 3.4 g/dL、総ビリルビン 0.6 mg/dL、AST 50 U/L、ALT 62 U/L、LD 330 U/L (基準 176〜353)、ALP 270 U/L (基準 115〜359)、γ-GTP 63 U/L(基準 8〜50)、アミラーゼ 140 U/L(基準 37〜160)、CK 110 U/L(基準 30〜140)、尿素窒素 28 mg/dL、クレアチニン 1.0 mg/dL、尿酸 6.0 mg/dL、血糖 130 mg/dL、HbA1c 5.0 %(基準 4.6〜6.2)、総コレステロール 178 mg/dL、トリグリセリド 190 mg/dL、Na 142 mEq/L、K 4.2 mEq/L、Cl 98 mEq/L。CRP 11 mg/dL。腹部 CTを別に示す。
適切な対応はどれか。
a. 直腸切断術
b. 孔部閉鎖術
c. ドレナージ術
d. 低位前方切除術
e. 孔部切除閉鎖+人工肛門造設術<Hartmann 手術>
