72 歳の男性。血尿を主訴に来院した。1か月前から間欠的に血尿を自覚していたが、3日前から右側腹部の違和感も出現したため受診した。
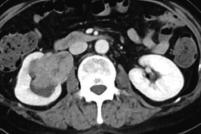
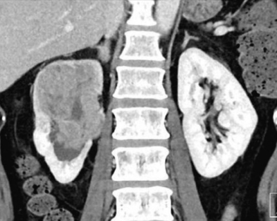
尿所見:蛋白1+、糖(-)、潜血3+、沈渣に赤血球多数/1 視野、白血球2〜5/1 視野。尿細胞診はクラスⅤ。血液所見と血液生化学所見とに異常を認めない。胸部エックス線写真で異常を認めない。腹部造影 CT の水平断像と冠状断像とを別に示す。全身検索でリンパ節転移と遠隔転移とを認めない。膀胱鏡検査で異常を認めない。尿管鏡による生検で高異型度尿路上皮癌の細胞を認める。
治療法として適切なのはどれか。
a. 腎摘出術
b. 腎瘻造設術
c. 腎尿管全摘術
d. 尿管ステント留置
e. 腎尿管膀胱全摘術
