46歳の女性。軽労作での呼吸困難を主訴に来院した。1年前から長時間歩行時の息切れを自覚していた。最近になって階段昇降や平地歩行でも息切れが出現するようになり、下肢の浮腫も自覚するようになったため受診した。
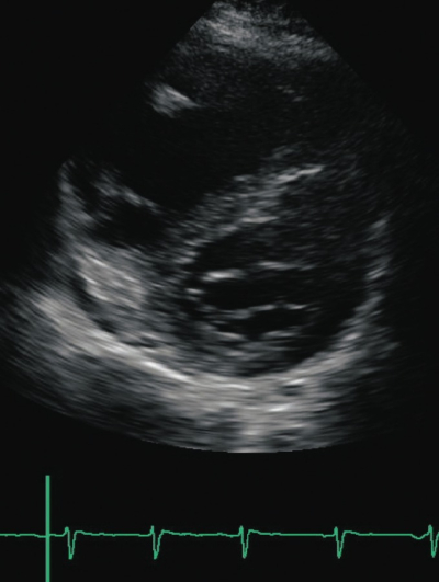
身長 155 cm、体重 80 kg。体温 36.2 ℃。脈拍 76/分、整。血圧 130/60 mmHg。呼吸数 24/分。SpO2 90 %(room air)。胸部の聴診でⅡ音の亢進を認める。両下肢に著明な浮腫を認める。神経学的所見に異常を認めない。12誘導心電図と心エコー図とを別に示す。
この患者の病態の原因として考えられるのはどれか。3つ選べ。
a. 膠原病
b. 急性右室梗塞
c. 僧帽弁閉鎖不全
d. 特発性肺動脈性肺高血圧症
e. 慢性肺血栓塞栓性肺高血圧症
