68歳の女性。腹膜炎の手術後でICUに入院中である。3日前に消化管穿孔による急性汎発性腹膜炎で緊急手術が行われた。術後は気管挿管されたままICUに入室し、人工呼吸管理を受けている。本日から呼吸状態が悪化し、気管からピンク色泡沫状の分泌物が吸引された。
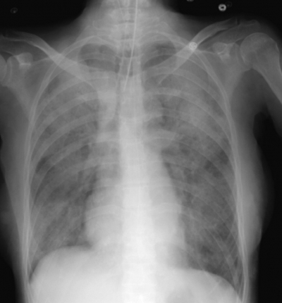
心拍数 86/分、整。血圧 120/80 mmHg。動脈血ガス分析(FiO2 0.7):pH 7.32、PaCO2 42 Torr、PaO2 69 Torr、HCO3- 23 mEq/L。胸部エックス線写真を別に示す。心エコーで左室駆出率 60 %、左室壁運動に異常を認めない。有意な弁膜症を認めない。
診断はどれか。
a. 肺炎
b. 肺胞出血
c. 心原性肺水腫
d. 急性間質性肺炎
e. 急性呼吸促迫症候群<ARDS>
