46 歳の男性。心窩部から左前胸部にかけての痛みを主訴に来院した。
現病歴:本日、午前9時、職場の会議中に心窩部から左前胸部にかけての締め付けられるような痛みが出現した。同時に咽頭部と左肩にも痛みを感じたという。そのまま安静にしていたところ、15 分程度で改善したため様子をみていたが、午前9時 30 分、会議終了時に再び発作が生じた。これも 15 分程度で治まったが、症状が繰り返すため心配になって、仕事を早退して午前 10 時 30 分に来院した。
既往歴:10 年前から高血圧症と脂質異常症で内服治療中。
生活歴:妻と2人暮らし。喫煙は 40 歳まで 10 本/日を 20 年間。飲酒は機会飲酒。
家族歴:特記すべきことはない。
現症:意識は清明。身長 162 cm、体重 60 kg。脈拍 60/分、整。血圧 140/80 mmHg で左右差を認めない。呼吸数 16/分。SpO2 99 %(room air)。心音と呼吸音とに異常を認めない。腹部は平坦、軟で、肝・脾を触知しない。
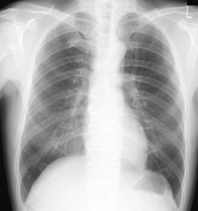
検査所見:尿所見:蛋白(-)、糖(-)。血液所見:赤血球 450 万、Hb 13.3 g/dL、Ht 40 %、白血球 6,200(桿状核好中球 2 %、分葉核好中球 58 %、好酸球 3 %、好塩基球 1 %、単球 8 %、リンパ球 28 %)、血小板 18 万、D ダイマー 0.6 μg/mL (基準 1.0 以下)。血液生化学所見:AST 32 U/L、ALT 45 U/L、LD 260 U/L(基準 176〜353)、CK 98 U/L(基準 30〜140)、尿素窒素 11 mg/dL、クレアチニン 0.9 mg/dL。心筋トロポニン T 陰性。胸部エックス線写真と心電図とを別に示す。心エコーで前壁から心尖部にかけて軽度の収縮性低下を認める。
心電図所見で認められるのはどれか。
a. 高電位
b. ST 上昇
c. 右軸偏位
d. 異常 Q 波
e. 陰性 T 波
最も疑われるのはどれか。
a. 胸膜炎
b. 逆流性食道炎
c. 肺血栓塞栓症
d. 急性冠症候群
e. 急性大動脈解離
今後、繰り返し検査して経時的に所見を確認すべきなのはどれか。2つ選べ。
a. D ダイマー
b. 安静時心電図
c. 心筋逸脱酵素
d. 運動負荷心電図
e. 心筋シンチグラフィ
