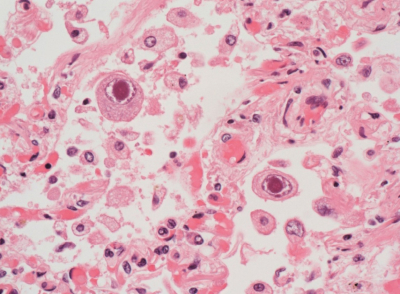
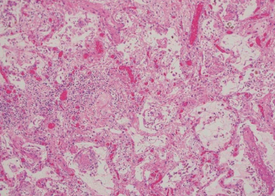
88 歳の女性。発熱、咳、痰および呼吸困難を主訴に来院し、胸部エックス線写真と胸部 CT とで特発性間質性肺炎の急性増悪と気道感染症の合併が疑われて入院した。症状は抗菌薬と副腎皮質ステロイドとの投与を受けて軽快した。入院後 10日に、体温 37 ℃台の発熱があり、咳嗽も増悪した。胸部エックス線写真で両側肺野の浸潤影と網状影とを認めたため抗菌薬を変更し、副腎皮質ステロイドの投与を続けたが奏効せず、呼吸不全で入院後 23 日に死亡した。死因や肺病変の診断を目的に病理解剖を行った。病理解剖の肺組織の H-E 染色標本を別に示す。
診断として考えられるのはどれか。
a. 肺結核症
b. 肺ムーコル症
c. ニューモシスチス肺炎
d. 肺クリプトコックス症
e. サイトメガロウイルス肺炎
