71歳の女性。発熱と下腿浮腫とを主訴に来院した。65歳時から2型糖尿病のため自宅近くの医療機関に通院中である。これまで網膜症は指摘されていない。1か月前から37℃台の微熱があり、両側の下腿浮腫を自覚するようになった。かかりつけ医で血尿と蛋白尿とを指摘され、精査のために紹介されて受診した。
体温37.6 ℃。脈拍92/分、整。血圧146/88 mmHg。呼吸数16/分。SpO2 98% (room air)。心音と呼吸音とに異常を認めない。両側の下腿に浮腫と網状皮斑とを認める。左下腿の温痛覚の低下を認める。
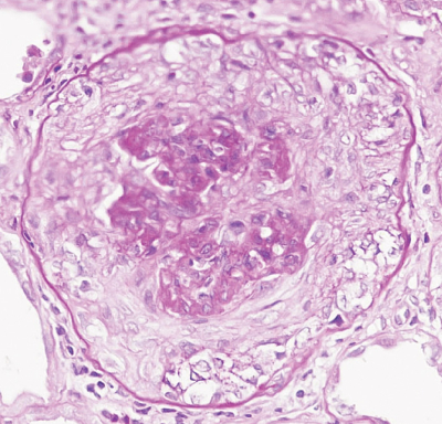
尿所見:蛋白3+、潜血3+、沈渣に赤血球50〜100/1視野、白血球10〜20/1視野、赤血球円柱を認める。血液所見:赤血球324万、Hb10.0 g/dL、Ht31%、白血球10,300 (桿状核好中球20 %、分葉核好中球 52%、好酸球 1%、好塩基球 1%、単球 3%、リンパ球22%)、血小板 22万。 血液生化学所見:総蛋白 6.0 g/dL、アルブミン 2.3 g/dL、尿素窒素 40 mg/dL、クレアチニン 2.5 mg/dL、血糖 98 mg/dL、HbA1c 5.8 %(基準4.6〜6.2)、Na 138 mEq/L、K 5.0 mEq/L、Cl 100 mEq/L。免疫血清学所見:CRP 6.5 mg/dL、リウマトイド因子<RF>陰性、抗核抗体陰性、MPO-ANCA 84 U/mL(基準 3.5 未満)、 PR3-ANCA 3.5 U/mL未満(基準 3.5 未満)。胸部エックス線写真で異常を認めない。腎生検のPAS染色標本を示す。
この患者でまず行うべき治療はどれか。
a. 血液透析
b. 血漿交換
c. ビタミンB12製剤投与
d. メトトレキサート投与
e. 副腎皮質ステロイド投与
