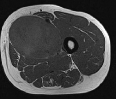
32歳の男性。左大腿の腫瘤を主訴に来院した。3か月前に径6cmの左大腿の腫瘤に気付き様子をみていたところ、増大して径10cm となったため受診した。これまでの健診で異常は指摘されていない。
意識は清明。身長 172 cm、体重 78 kg。 体温 36.3 ℃。脈拍 72/分、整。血圧 126/78 mmHg。胸腹部に異常を認めない。左大腿近位内側に弾性硬の腫瘤を触知するが、発赤、腫脹および圧痛はない。皮膚との可動性は良好だが、深部との可動性は不良である。血液生化学所見に異常を認め ない。左大腿近位 MRI の T1 強調像と T2 強調像とを示す。
最も可能性が高いのはどれか。
a. 膿瘍
b. 粉瘤
c. 脂肪腫
d. 悪性軟部腫瘍
e. ガングリオン
