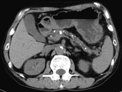
53歳の男性。3か月前から持続する上腹部痛を主訴に来院した。25歳ごろからアルコールを多飲している。上腹部に圧痛を認める。
血液生化学所見:総ビリルビン 1.0 mg/dL、AST 84 U/L、ALT 53 U/L、ALP 258 U/L(基準 115〜359)、γ-GTP 110 U/L (基準8〜50)、アミラーゼ 215 U/L (基準 37〜160)、空腹時血糖 278 mg/dL、HbA1c 9.6 %(基準 4.6〜6.2)、CA19-9 32 U/mL (基準 37 以下)。腹部CTとMRCPとを示す。
この患者への指導として適切なのはどれか。2つ選べ。
a. 禁酒
b. 水分制限
c. 脂肪制限食
d. 蛋白制限食
e. 高エネルギー食
