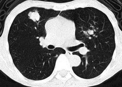
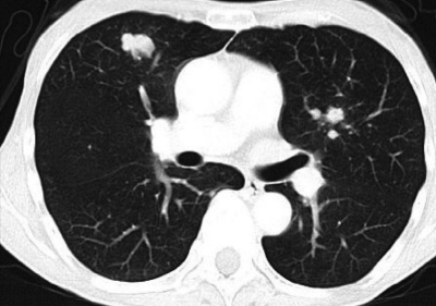
67歳の女性。根治的右腎摘除術後の治療効果の確認のために来院した。1年前に長径 11 cm 大の右腎細胞癌と多発肺転移に対して、根治的右腎摘除術を受けており、術直後から肺転移巣に対してインターフェロン α の自己投与を週3回施行している。インターフェロン導入11か月後の治療効果の確認のため受診した。現在、他の疾患は認めていない。
体温 36.2 ℃。血圧 132/84 mmHg。
尿所見:蛋白(-)、糖(-)、沈渣に赤血球1〜5/1視野、白血球1〜5/1視野。血液所見:赤血球 420 万、Hb 12.8 g/dL、Ht 41 %、白血球 3,900、血小板 17 万。血液生化学所見:総蛋白 7.0 g/dL、アルブミン 3.8 g/dL、総ビリルビン 1.1 mg/dL、AST 34 U/L、ALT 36 U/L、LD 176 U/L(基準 176〜353)、γ-GTP 38 U/L(基準8〜50)、 尿素窒素 20 mg/dL、クレアチニン 1.0 mg/dL、尿酸 7.1 mg/dL、血糖 96 mg/dL、Na 137 mEq/L、K3.9 mEq/L、Cl 104 mEq/L。CRP 0.1 mg/dL。心電図に異常を認めない。11 か月前と今回の胸部CTを示す。
今後の治療として適切なのはどれか。
11か月前
今回
a. 手術療法への変更
b. 分子標的薬への変更
c. 放射線治療への変更
d. 抗癌化学療法への変更
e. インターフェロンαの継続
