8歳の男児。軽自動車にはねられ受傷し、ドクターヘリで搬入された。救急隊到着時には路上で泣いていたが、その後意識障害が急速に進行し、JCSⅢ-100 まで低下したためドクターヘリを要請した。搬入時、右片麻痺と左共同偏視とを認め、気管挿管して搬送した。
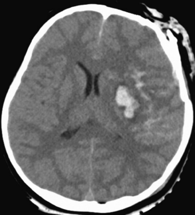
来院時、意識レベルは GCS5 (E1V1M3)。体温 36.8 ℃。心拍数 90/分、整。血圧 134/86 mmHg。呼吸数 22/分。SpO2 100 %(バッグバルブマスク人工呼吸下)。左瞳孔の散大と対光反射消失とを認める。左前頭部に開放創を認め、骨折部と連続している。頭部 CTを別に示す。
治療として適切なのはどれか。2つ選べ。
a. 減圧開頭術
b. 抗菌薬投与
c. 脳室ドレナージ
d. 脳内血腫除去術
e. 副腎皮質ステロイド投与
