68歳の女性。1年前にS状結腸癌(病期Ⅲ)と診断されS状結腸切除術およびリンパ節郭清術を施行された。術後の補助化学療法を勧められたが、治療を受けず来院していなかった。1週間前に腹痛を自覚し軽快しないため受診した。
意識は清明。身長 158 cm、体重 50 kg。腹部は平坦で、肝・脾を触知しない。臍周囲に自発痛と軽度の圧痛とを認める。
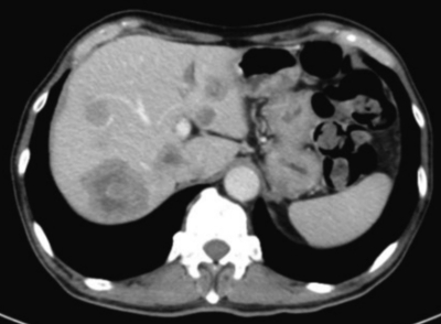
血液所見:赤血球 385 万、Hb 10.9 g/dL、Ht 37 %、白血球 5,100、血小板 14 万。血液生化学所見:総蛋白 7.2 g/dL、総ビリルビン1.1 mg/dL、AST 54 U/L、ALT 48 U/L、ALP 722 U/L(基準 115〜359)、γ-GTP 264 U/L (基準 8〜50)、CEA 78 ng/mL (基準 5以下)、CA19-9 350 U/mL(基準 37以下)。CRP 2.8 mg/dL。腹部造影CTを別に示す。
行うべき治療はどれか。
a. 肝移植
b. 肝切除
c. 放射線照射
d. 抗癌化学療法
e. 経カテーテル的動脈化学塞栓術<TACE>
