25歳の女性。意識障害のため救急車で搬入された。本日朝、自宅で突然の頭痛を訴えた直後に呼びかけても反応がなくなったため、家族が救急車を要請した。
意識レベルは JCSⅢ-100。体温 36.8 ℃。心拍数 92/分、整。血圧 160/92 mmHg。呼吸数 16/分。舌根沈下のため気管挿管を行った。SpO2 98 % (リザーバー付マスク10 L/分酸素投与下) 。瞳孔径は右 3mm、左 4mm、対光反射は左で消失している。
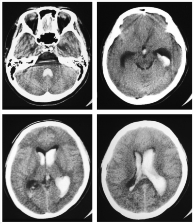
入院時の頭部 CT及び脳血管造影像を別に示す。
まず行うべきなのはどれか。
a. 血行再建術
b. 血栓溶解療法
c. コイル塞栓術
d. ステント留置術
e. 脳室ドレナージ術
