40歳の女性。頭部MRIの異常所見を指摘され来院した。1か月前から時折前頭部の鈍い痛みを自覚している。1週間前に職場同僚がくも膜下出血で入院したため、心配になり自宅近くの医療機関を受診し、頭部MRIで異常を指摘されたため紹介受診した。
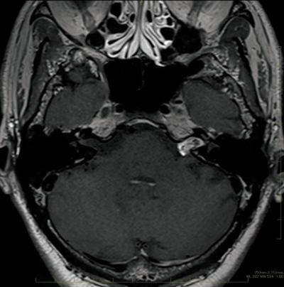
身長 162 cm、体重 45 kg。体温 36.2 ℃。脈拍 76/分、整。血圧 124/78 mmHg。身体診察に明らかな異常を認めない。頭部造影MRIを別に示す。
異常が予想される検査はどれか。2つ選べ。
a. 視野検査
b. 脳波検査
c. 聴力検査
d. 脳脊髄液検査
e. 平衡機能検査
