24歳の女性。発熱と頸部腫瘤を主訴に来院した。2か月前から左頸部腫瘤を自覚していた。2週間前に発熱と寝汗が出現し、改善しないため受診した。6か月で7kgの体重減少があった。
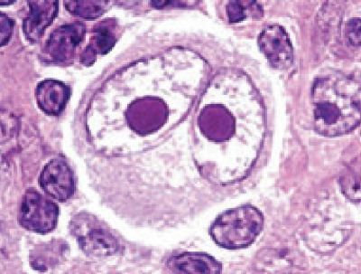
体温 37.8 ℃。脈拍 96/分、整。左頸部、左鎖骨上窩および両側鼠径部に弾性硬、圧痛のない径 2〜3cm のリンパ節を4個触知する。左頸部リンパ節の生検組織の H-E 染色標本を別に示す。免疫染色ではCD30陽性の細胞を認める。
この患者に行う治療に含むべき薬剤はどれか。
a. イソニアジド
b. リツキシマブ
c. ビンクリスチン
d. ブレオマイシン
e. 全トランス型レチノイン酸
