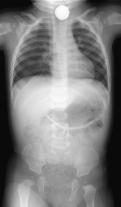
11か月の乳児。誤飲のため救急車で搬入された。17時30分にパッケージから出したばかりのリチウム電池を飲み込んだという。直ちに父親が救急車を要請した。
搬入時には児の機嫌は良く、顔色は良好である。努力呼吸を認めず、呼吸音に異常を認めない。18時30分に撮影した胸腹部エックス線写真を別に示す。緊急で内視鏡的摘出術を行うこととした。
緊急で内視鏡的摘出を行う主な理由はどれか。
a. 不整脈の防止
b. 呼吸障害の回避
c. 食道穿孔の回避
d. 胃食道逆流の防止
e. 経口摂取の早期再開
11か月の乳児。誤飲のため救急車で搬入された。17時30分にパッケージから出したばかりのリチウム電池を飲み込んだという。直ちに父親が救急車を要請した。
搬入時には児の機嫌は良く、顔色は良好である。努力呼吸を認めず、呼吸音に異常を認めない。18時30分に撮影した胸腹部エックス線写真を別に示す。緊急で内視鏡的摘出術を行うこととした。
緊急で内視鏡的摘出を行う主な理由はどれか。
a. 不整脈の防止
b. 呼吸障害の回避
c. 食道穿孔の回避
d. 胃食道逆流の防止
e. 経口摂取の早期再開
電池誤飲症例。電池は腐食作用が強いため即座に摘出する必要あり。
過去問チャートは、医療系国家試験の過去問をテーマ別に整理・解説した無料の学習サービスです。
※公式問題・正答は厚生労働省公開資料をもとに整理しています。
システム設計・解説記入:米澤 昌紘(X : @leknyan)
(医師/日本橋内科クリニック院長)