52歳の男性。眼瞼と頸部の腫脹を主訴に来院した。1年前から両側眼瞼の腫脹に気付いていた。半年前から両側の顎下部の腫脹も自覚していた。最近、眼瞼の腫脹が増大傾向であり、また鼻閉も伴ったため受診した。
体温 36.5 ℃。脈拍 64/分、整。血圧 110/76 mmHg。両側眼瞼および顎下部の腫脹を認める。心音と呼吸音とに異常を認めない。腹部は平坦、軟で、肝・脾を触知しない。圧痛を認めない。
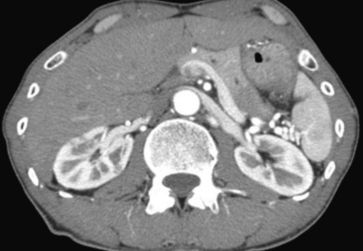
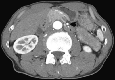
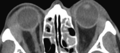
血液所見:赤血球 423 万、Hb 12.9 g/dL、Ht 37 %、白血球 6,400、血小板 21 万。血液生化学所見:尿素窒素 13 mg/dL、クレアチニン 0.5 mg/dL、総蛋白 8.5 g/dL、アルブミン 3.9 g/dL、IgG 3,305 mg/dL (基準 960〜1,960)、IgA 159 mg/dL (基準 110〜410)、IgM 67 mg/dL (基準 65〜350)、IgE 350 IU/mL (基準 250 以下)、総ビリルビン 0.9 mg/dL、AST 22 U/L、ALT 16 U/L、γ-GTP 34 U/L (基準 8〜50)、アミラーゼ 122 U/L (基準 37〜160)。免疫血清学所見:抗核抗体陰性、リウマトイド因子<RF>陰性。眼窩部単純CT及び腹部造影CTを別に示す。
診断に有用な検査はどれか。2つ選べ。
a. 肝生検
b. 涙腺生検
c. 血清 IgG4 測定
d. 経静脈性胆道造影
e. 血清 MPO-ANCA 測定
