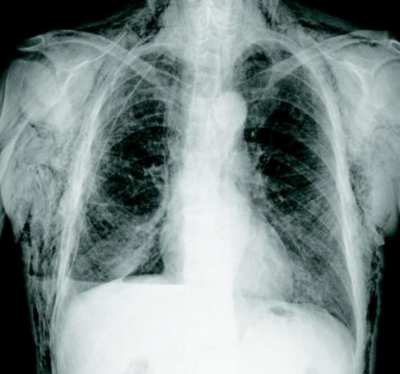
76歳の男性。肺癌治療のため入院中である。根治術として、右肺下葉切除およびリンパ節郭清術を施行された。胸腔ドレーンからの軽度の空気漏れが手術直後から観察されたが、胸部エックス線写真では肺の膨張に問題はなかった。術後3日目、胸腔ドレーンからは依然空気漏れを認めている。手術直後の胸部エックス線写真及び術後3日目の胸部エックス線写真を別に示す。
この患者で認められる所見はどれか。
手術直後(仰臥位像)
術後3日後(立位像)
a. 紅斑
b. 皮下血腫
c. 皮下握雪感
d. 表在静脈拡張
e. 鎖骨上リンパ節腫脹
