44歳の女性。左下肢の腫脹を主訴に来院した。1年前から発熱と口腔内や陰部に痛みを伴うびらんと潰瘍、移動性の関節痛、下腿から足部の頭尾方向に延びる発赤を伴う有痛性皮疹を繰り返していた。3週前から左下腿の腫脹、疼痛が出現し改善しないため受診した。
意識は清明。身長 158 cm、体重 45 kg。体温 39.9 ℃。脈拍 100/分、整。血圧 96/60 mmHg。口唇粘膜にアフタ性口内炎を認める。心音と呼吸音とに異常を認めない。腹部は平坦、軟で、肝・脾を触知しない。表在リンパ節の腫大を認めない。左下腿から足関節部にかけて軽度の熱感を認める。四肢関節に腫脹や圧痛を認めない。
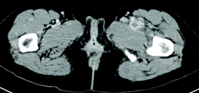
尿所見:蛋白(−)、潜血(−)、白血球3+。検査所見:赤沈 73mm/1時間。血液所見:赤血球 354万、Hb 9.1g/dL、Ht 28%、白血球 8,400(桿状核好中球 5%、分葉核好中球 67%、好酸球 1%、単球 10%、リンパ球 17%)、血小板 36万、PT-INR 1.2(基準 0.9〜1.1)、APTT 27.8秒(基準対照 32.2)、フィブリノゲン 525 mg/dL(基準 186〜355)、Dダイマー 4.1 μg/mL(基準1.0以下)。血液生化学所見:総蛋白7.3g/dL、アルブミン 2.3 g/dL、AST 14 U/L、ALT 11 U/L、LD 144 U/L(基準 120〜245)、尿素窒素 9.1 mg/dL、クレアチニン 0.4 mg/dL、CK 51 U/L(基準 30〜140)。CRP 12 mg/dL。両下肢の写真及び鼠径部の造影CTを別に示す。
最も考えられるのはどれか。
a. Behçet病
b. 高安動脈炎
c. 壊死性筋膜炎
d. 抗リン脂質抗体症候群
e. May-Thurner(腸骨静脈圧迫)症候群
