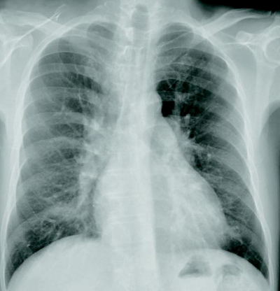
70歳の男性。息切れを主訴に来院した。最近、趣味のグラウンド・ゴルフをするときに息切れを自覚するようになり受診した。喫煙歴はない。
心音はII音の固定性分裂を認め、胸骨左縁第2肋間に収縮期雑音を聴取する。呼吸音に異常を認めなぃ。下肢に浮腫を認めない。手指にチアノーゼ、ばち指を認めない。心電図は洞調律で不完全右脚ブロックを認める。胸部エックス線写真及び心エコー図を別に示す。その後心臓カテーテル検査を行った。
この患者の各部位の酸素飽和度(%)で正しいのはどれか。
(SVC:上大静脈、RA:右心房、RV:右心室、PA:肺動脈、LV:左心室)
