23歳の女性。左下腹部痛を主訴に来院した。3日前の朝、通勤中の電車内で急に左下腹部痛を自覚した。痛みは2時間ほどで自然に軽快したという。2か月前にも同様の疼痛発作があったため心配して受診した。既往歴と家族歴に特記すべきことはない。
月経は周期28日型、整、持続5日間。身長158cm、体重48kg。体温36.6℃。脈拍72/分、整。血圧100/64mmHg。呼吸数18/分。眼瞼結膜と眼球結膜とに異常を認めない。恥骨上から臍上6cmにかけて腹部腫瘤を触知し、軽度の圧痛を認める。子宮は正常大で圧痛は認めない。
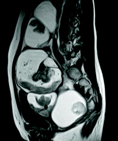
血液所見:赤血球380万、Hb 10.1g/dL、Ht 32%、白血球4,000、血小板19万。血液生化学所見:総蛋白7.0g/dL、AST 22U/L、ALT 20U/L、LD 190U/L(基準120〜245)、α-フェトプロテイン〈AFP〉5ng/mL(基準20以下)、CA19-9 35U/mL(基準37以下)、CA125 30U/mL(基準35以下)。下腹部MRIのT2強調像、T1強調像及び脂肪抑制T1強調像を別に示す。
治療として適切なのはどれか
T2強調像
T1強調像
脂肪抑制T1強調像
a. 外科的切除
b. 放射線治療
c. 分子標的薬投与
d. ホルモン薬投与
e. 副腎皮質ステロイド投与
