61歳の男性。心窩部痛を主訴に救急車で搬入された。7日前に腰痛を自覚し自宅近くの診療所でNSAIDを処方されていた。今朝急に心窩部痛が出現し急速に増強するため救急車を要請した。
意識は清明。身長 173 cm、体重 67 kg。体温 36.0 ℃。心拍数 88/分、整。血圧 124/80 mmHg。呼吸数 20/分。SpO2 98%(鼻カニューラ3L/分酸素投与下)。腹部は平坦で、心窩部に圧痛と軽度の反跳痛とを認める。
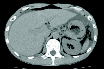
血液所見:赤血球 483万、Hb 15.7 g/dL、Ht 47%、白血球 14,700、血小板 30万。血液生化学所見:総蛋白 7.3 g/dL、アルブミン 4.2 g/dL、総ビリルビン 0.9 mg/dL、AST 20 U/L、ALT 15 U/L、LD 170 U/L(基準120〜245)、ALP 265 U/L(基準115〜359)、γ-GT 66 U/L(基準8〜50)、アミラーゼ 52 U/L(基準37〜160)、CK 85U/L(基準30〜140)、尿素窒素 17 mg/dL、クレアチニン1.0 mg/dL、血糖 103 mg/dL、Na 146 mEq/L、K 3.8 mEq/L、Cl 106 mEq/L。CRP 2.2 mg/dL。腹部単純CTを別に示す。
まずは手術を実施せず、保存的治療を行うこととした。対応として適切なのはどれか。3つ選べ。
a. 抗菌薬投与
b. 経鼻胃管留置
c. 高圧酸素療法
d. 腹部血管造影
e. プロトンポンプ阻害薬投与
