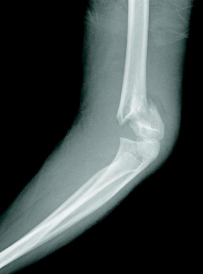
9歳の男児。左肘痛を主訴に母親とともに来院した。自転車乗車中に転倒し、左手をついて受傷した。左肘関節エックス線写真を別に示す。徒手整復を行う準備をしていたところ、左前腕部にも疼痛が出現し、左手指の自動運動が不能となった。
緊急筋膜切開術を判断する指標として適切なのはどれか。2つ選べ。
a. 創の有無
b. 転位の程度
c. 橈骨動脈の拍動
d. 皮下出血の有無
e. 前腕筋区画内圧
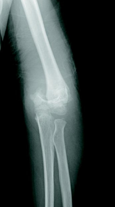
9歳の男児。左肘痛を主訴に母親とともに来院した。自転車乗車中に転倒し、左手をついて受傷した。左肘関節エックス線写真を別に示す。徒手整復を行う準備をしていたところ、左前腕部にも疼痛が出現し、左手指の自動運動が不能となった。
緊急筋膜切開術を判断する指標として適切なのはどれか。2つ選べ。
a. 創の有無
b. 転位の程度
c. 橈骨動脈の拍動
d. 皮下出血の有無
e. 前腕筋区画内圧
過去問チャートは、医療系国家試験の過去問をテーマ別に整理・解説した無料の学習サービスです。
※公式問題・正答は厚生労働省公開資料をもとに整理しています。
システム設計・解説記入:米澤 昌紘(X : @leknyan)
(医師/日本橋内科クリニック院長)