80 歳の男性。ふらつきを主訴に来院した。
現病歴 : 約半年前から家族との会話に積極的に加わらなくなり、家族からの問いかけにも答えないことがあったが、大きな声で話しかければ普通に会話ができており、挨拶も自発的にできていた。約2か月前から屋内外で歩行時にふらつきがみられるようになり、最近、転倒するようになった。公共交通機関を1人で利用することができなくなったため、家族に付き添われて受診した。
既往歴 : 特記すべきことはない。
生活歴 : 妻と息子夫婦の4人暮らし。喫煙歴はなく、飲酒は機会飲酒。入浴、トイレ動作は可能である。
家族歴 : 特記すべきことはない。
現症 : 意識は清明。身長 164 cm、体重 58 kg。体温 36.6 ℃。脈拍 72/分、整。血圧 132/76 mmHg。呼吸数 12/分。甲状腺腫と頸部リンパ節を触知しない。心音と呼吸音とに異常を認めない。腹部は平坦、軟で、肝・脾を触知しない。神経診察において、Weber 試験では左に偏位している。軽度の構音障害を認めるが、失語はない。3物品(桜・猫・電車)の即時再生には問題ないが、遅延再生は困難である。立方体の模写と時計描画試験は不正確である。上肢 Barré 徴候は陰性で、四肢腱反射に異常を認めず、病的反射を認めない。指鼻試験で両側上肢に測定障害を認める。歩行は開脚不安定で、つぎ足歩行は困難である。Romberg 徴候は陰性で、表在感覚および深部感覚に異常は認めない。
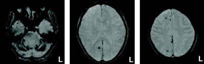
検査所見 : 血液所見:赤血球 450 万、Hb 14.0 g/dL、Ht 42 %、白血球 5,600、血小板 30万。血液生化学所見:総蛋白 7.8 g/dL、アルブミン 4.0 g/dL、総ビリルビン 1.0 mg/dL、AST 16 U/L、ALT 18 U/L、LD 210 U/L (基準 120〜245) 、ALP 250 U/L (基準 115〜359)、γ-GT 18 U/L (基準 8〜50)、CK 80 U/L (基準 30〜140)、尿素窒素 20 mg/d、クレアチニン 0.9 mg/dL、尿酸 5.0 mg/dL、血糖 88 mg/dL、トリグリセリド 150 mg/dL、HDL コレステロール 40 mg/dL、LDL コレステロール 140 mg/dL、Na 145 mEq/L、K 4.0 mEq/L、Cl 104 mEq/L。CRP 0.1 mg/dL。頭部 MRI の T2*強調水平断像を別に示す。
神経診察所見から判断される病巣として考えにくいのはどれか。
a. 橋
b. 海馬
c. 頭頂葉
d. 小脳半球
e. 脊髄後索
高齢者機能評価簡易版<CGA7>の評価に必要な項目で読み取れないのはどれか。
a. 意欲
b. 情緒
c. 認知機能
d. 基本的 ADL
e. 手段的 ADL
医療面接および神経診察の結果から判断して、異常を示す可能性が高いのはどれか。
a. 嗅覚検査
b. 針筋電図
c. 膀胱内圧
d. 純音聴力検査
e. 体性感覚誘発電位
