65 歳の女性。下腿浮腫を主訴に来院した。1か月前から下腿浮腫と軽度の労作時呼吸困難感があり改善しないため受診した。
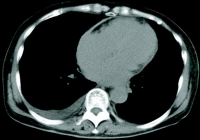
体温 36.5 ℃。脈拍 72/分、整。血圧 110/80 mmHg。呼吸数 14/分。SpO₂ 95 %(room air)。心音は微弱で拡張早期過剰心音を聴取する。呼吸音に異常を認めない。両側に著明な下腿浮腫を認める。胸部 CT及び右心カテーテル所見を別に示す。
治療で選択すべきなのはどれか。
a. β 遮断薬
b. コルヒチン
c. 心膜切除術
d. 心囊ドレナージ
e. 経カテーテル心室中隔焼灼術
