日齢3の男児。在胎 38 週日、2,648 g で分娩遷延のため吸引分娩で出生した。Apgar スコアは9点(1分)であった。出生直後に頭部の腫瘤を認めていた。活気不良と頭部の腫瘤増大、全身蒼白のため NICU に搬入された。
意識は清明。身長48.5 cm、体重 2,648 g。体温 36.2 ℃。心拍数 148/分、整。血圧 48/20 mmHg。呼吸数 58/分。SpO₂ 96 %(room air)。両側の頭頂側頭部に径4cm の柔らかい腫瘤を触知する。心音と呼吸音とに異常を認めない。腹部は平坦、軟で、肝・脾を触知しない。
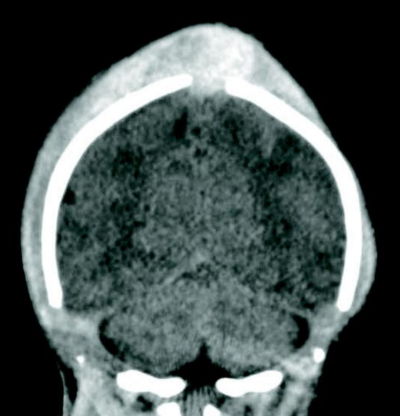
血液所見:赤血球 180 万、Hb 6.8 g/dL、Ht 18 %、白血球 28,000、血小板20 万、出血時間正常、PT-INR 1.1(基準 0.9〜1.1)、APTT 122 秒(基準 27〜40)、フィブリノゲン 262 mg/dL(基準 130〜380)。頭部 CT 冠状断像を別に示す。
この患者で活性が低下する可能性があるのはどれか。2つ選べ。
a. 第Ⅶ因子
b. 第Ⅷ因子
c. 第Ⅸ因子
d. 第Ⅹ因子
e. 第XIII因子
