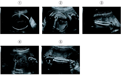
胎児の超音波断層像を別に示す。胎児推定体重を測定する際に用いるのはどれか。3つ選べ。
a. ①
b. ②
c. ③
d. ④
e. ⑤
①は児頭大横径 推定可能
③は大腿骨長 推定可能
④は躯幹周囲長 推定可能
前のページへ
次のページへ
過去問チャートは、医療系国家試験の過去問をテーマ別に整理・解説した無料の学習サービスです。※公式問題・正答は厚生労働省公開資料をもとに整理しています。
システム設計・解説記入:米澤 昌紘(X : @leknyan)(医師/日本橋内科クリニック院長)