72歳の女性。悪心を主訴に来院した。3年前に後腹膜の径10cm の腫瘤を開腹生検して濾胞性リンパ腫と診断された。癌薬物療法を受けて寛解を得たがその1年後に腫瘍の急速な再増大を認め、再発と診断された。薬物療法を受け、腫瘍は縮小したが消失はしなかった。薬物療法の中止を希望し在宅療養中であった。2か月前から腰痛が出現しNSAIDを内服したが増悪するため、悪心に対する対策を行った上でオピオイドの内服をはじめ腰痛は消失した。1か月前から下肢浮腫が出現し、1週前から腹部膨満感、腹痛とともに食欲不振が出現したという。昨晩から悪心も出現したため受診した。
意識は清明であるが顔面は苦悶様である。身長 156 cm、体重 41 kg。体温 37.5 ℃。脈拍 96/分、整。血圧108/68mmHg。眼瞼結膜は貧血様である。両鼠径に2〜5cmの腫大したリンパ節を多数触知する。腹部は著明に膨隆して腸蠕動音は減弱している。両側下肢に浮腫を認める。
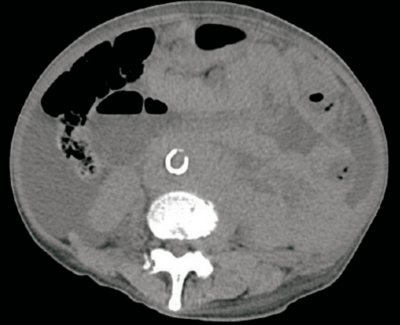
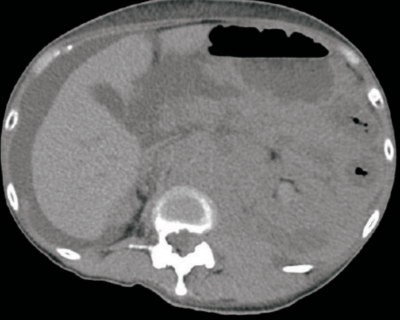
血液所見:赤血球 345万、Hb 9.2 g/dL、Ht 28%、白血球 9,000、血小板 9.5万。血液生化学所見:総蛋白 5.2 g/dL、アルブミン 2.7 g/dL、総ビリルビン 0.6 mg/dL、AST 24 U/L、ALT 13 U/L、LD 1,120 U/L (基準 120〜245) 、尿素窒素 28 mg/dL、クレアチニン1.7 mg/dL、尿酸10.2mg/dL。腹部単純CTを別に示す。
最も適切な対応はどれか。
a. 腹水穿刺
b. 降圧薬投与
c. 開腹腫瘍切除術
d. アルブミン製剤投与
e. オピオイドスイッチング〈オピオイドローテーション〉
