53歳の男性。上腹部痛を主訴に来院した。24歳ころからワインや日本酒を多飲している。6か月前から上腹部に鈍痛を自覚し、2週前から痛みが増強したため受診した。
意識は清明。身長 165 cm、体重 54 kg。体温 36.4 ℃。脈拍 72/分、整。血圧 128/60 mmHg。腹部は平坦で、上腹部に圧痛を認める。
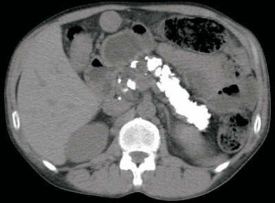
血液所見:赤血球 340万、Hb 12.2 g/dL、Ht 34%、白血球 6,100、血小板 16万。血液生化学所見:総蛋白 6.7 g/dL、アルブミン 3.6 g/dL、総ビリルビン 1.0 mg/dL、AST 74 U/L、ALT 53 U/L、LD 291 U/L(基準 120-245)、ALP 368 U/L(基準 115〜359)、γ-GT 130 U/L(基準 8〜50)、アミラーゼ 44 U/L(基準 37-160)、尿素窒素 14 mg/dL、クレアチニン0.7mg/dL、尿酸 7.9 mg/dL、血糖 278 mg/dL、HbA1c 10.6%(基準 4.6〜6.2)、総コレステロール 209 mg/dL、トリグリセリド 50 mg/dL、Na 140 mEq/L、K 4.0 mEq/L、Cl 103 mEq/L。腹部CTを別に示す。
この患者への指導として適切なのはどれか。2つ選べ。
a. 禁酒
b. 塩分制限
c. 水分制限
d. 脂肪制限
e. 蛋白制限
