80 歳の男性。胸痛のため救急車で搬入された。
現病歴:昨日午後7時ごろ夕食中に急に胸部絞脈感を感じた。胸痛は約30分持続したが自然に軽快し、その日は就寝した。本日朝6時、起床時に昨晩と同様の胸痛が出現した。昨夜より症状が強く動けない状態が持続し、その後呼吸困難も生じてきたため救急車を要請し、午前7時に救急搬送された。
既往歴:10年前から高血圧症で通院加療中。
生活歴:妻と2人暮らし。喫煙は20本/日、60年間。飲酒は機会飲酒。
家族歴:特記すべきことはない。
現症:意識は清明。身長 155 cm、体重 60 kg。心拍数 108/分、整。血圧 106/86 mmHgで明らかな左右差を認めない。呼吸数20/分。SpO₂ 94% (リザーバー付マスク10L/分酸素投与下)。冷汗を認める。眼瞼結膜と眼球結膜とに異常を認めない。頸静脈の怒張を認める。心音はⅢ音ギャロップを呈しており、心尖部を最強点とするLevine 3/6の収縮期雑音を聴取する。呼吸音は両側中下胸部に湿性ラ音を聴取する。腹部は平坦、軟で、肝・脾を触知しない。下腿に浮腫を認めない。
検査所見: 赤血球 463万、Hb 13.2 g/dL、Ht 40%、白血球 9,800、血小板 28万、総ビリルビン 0.5 mg/dL、AST 118 U/L、ALT 32 U/L、LD 320 U/L (基準 120-245)、CK 346 U/L (基準 30-140)、尿素窒素 12 mg/dL、クレアチニン 0.8 mg/dL、血糖 98 mg/dL、Na 138 mEq/L、K 4.4 mEq/L、Cl 97 mEq/L。心筋トロポニンT迅速検査陽性。心電図は心拍数 108/分の洞調律で、広範な誘導でST低下を認めた。
a. 左房圧は上昇している。
b. 僧帽弁閉鎖不全がある。
c. 心拍出量は増加している。
d. 中心静脈圧は低下している。
e. 副交感神経の緊張状態である。
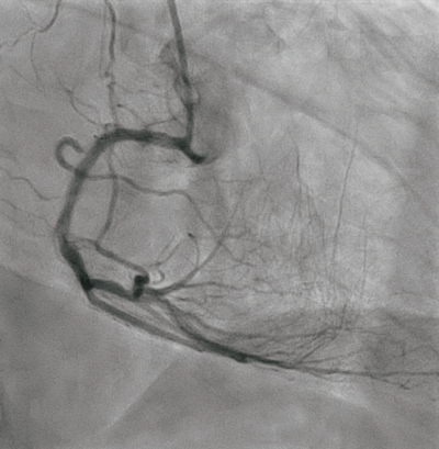
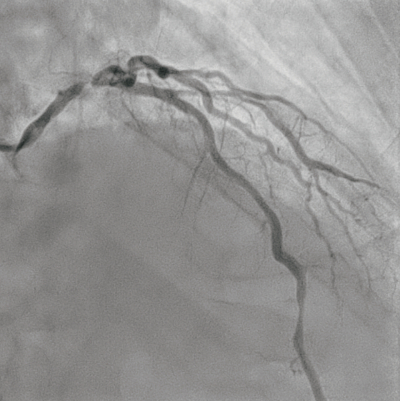
冠動脈造影像 を別に示す。血圧が低下したため、補助循環装置を挿入した。このときの胸部透視時の写真を別に示す。
この患者について正しいのはどれか。2つ選べ。
a. 冠動脈造影では冠動脈の中隔枝を介した側副血行が認められる。
b. 冠動脈造影では右冠動脈の近位部に高度狭窄を認める。
c. 留置している補助循環装置により血液の酸素化が行える。
d. 留置している補助循環装置により冠動脈血流量の増加が期待される。
e. 留置している補助循環装置は大静脈内に留置されている。
冠血行再建術が施行された後、ICUに入室した。血行動態は安定し補助循環装置も抜去された。
この患者への心臓リハビリテーションの説明で誤っているのはどれか。
a. 「最初は監視下で行います」
b. 「心拍数を見ながら進めていきます」
c. 「息切れや胸痛があれば無理に進めません」
d. 「心臓リハビリは退院の時点で終了となります」
e. 「ご家族と一緒に食事やお薬についても勉強しましょう」
