28歳の女性(1妊0産)。妊娠36週2日、けいれん発作のため救急搬送された。これまでの妊娠経過に異常は認めなかったが、 2日前の妊婦健康診査の際に血圧 142/84 mmHgと高血圧を初めて指摘された。その他の異常を認めなかったため、4日後の来院を指示されていた。家族によると、今朝、突然意識を失った後に全身のけいれんが起こったという 。
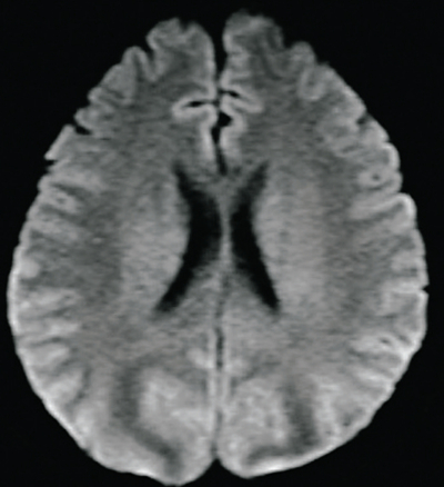
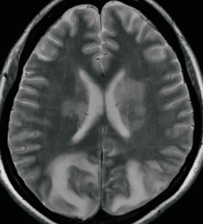
搬入時の意識レベルは JCS Ⅰ-2。けいれんは治まっていた。体温 37.2 ℃。心拍数 82/分。血圧 164/96 mmHg。呼吸数 20/分。 SpO₂ 96%(マスク 5L/分酸素投与下) 。頭部MRIの T2強調像及び拡散強調像とを別に示す。
この患者の脳にみられる病態はどれか。
a. 梗塞
b. 出血
c. 腫瘍
d. 脱髄
e. 浮腫
